Accepting New Patients In Summerlin & Centennial

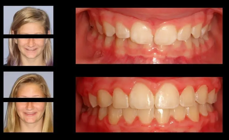
Smile Gallery

Check out some of our amazing smile transformations!

Insurance and Billing

We accept most insurance with the exception of Culinary and Local #12 & Local #631 HMO plans.

We offer financing as low as $99 / month and we have custom payment plans for your convenience. We accept Visa, Mastercard, Amex, and Discover.

Want to learn more? Head over to our Insurance & Financing Page! or contact our friendly team today.

3,000+ Satisfied Patients

We are so thankful to have such amazing patients who have taken the time to share their experiences on Google, Facebook, and other online sources.

"Dr. C and his staff have been amazing! They took great care with my daughter, and made every one of her adjustments relaxing and fun...
JK
Jayme K. Review on Google
"Dr. C and his entire staff are simply amazing! They are extremely personable, knowledgeable and fun at the same time. I absolutely LOVED my entire orthodontic experience...
JW
Jasmine W. Review on Google
"We just finished braces yesterday for my first, and the entire two years have been wonderful. So easy to get appointment set at a time that works for us at the location that's best...
KA
K A D. Review on Google